2020年2月29日讯/生物谷BIOON/---人类免疫缺陷病毒(human immunodeficiency virus, HIV),即艾滋病(AIDS,获得性免疫缺陷综合征)病毒,是造成人类免疫系统缺陷的一种病毒。1983年,HIV在美国首次发现。它是一种感染人类免疫系统细胞的慢病毒(lentivirus),属逆转录病毒的一种。HIV通过破坏人体的T淋巴细胞,进而阻断细胞免疫和体液免疫过程,导致免疫系统瘫痪,从而致使各种疾病在人体内蔓延,最终导致艾滋病。由于HIV的变异极其迅速,难以生产特异性疫苗,至今无有效治疗方法,对人类健康造成极大威胁。
自上世纪八十年代以来,艾滋病的流行已经夺去超过3400万人的生命。据世界卫生组织(WHO)统计,据估计,2017年,全世界有3690万人感染上HIV,其中仅59%的HIV感染者接受抗逆转录病毒疗法(ART)治疗。目前为止HIV仍然是全球最大的公共卫生挑战之一,因此急需深入研究HIV的功能,以帮助研究人员开发出可以有效对抗这种疾病的新疗法。为阻止病毒大量复制对免疫系统造成损害,HIV感染者需要每天甚至终身服用ART。虽然服用ART已被证明能有效抑制艾滋病发作,但这类药物价格昂贵、耗时耗力且副作用严重。人们急需找到治愈HIV感染的方法。
即将过去的2月份,有哪些重大的HIV研究或发现呢?生物谷小编梳理了一下这个月生物谷报道的HIV研究方面的新闻,供大家阅读。
1.Science:从结构上揭示INSTI药物结合HIV整合体机制
doi:10.1126/science.aay8015
在一项新的研究中,来自美国国家糖尿病与消化疾病研究所、美国国家癌症研究所、沙克生物研究所和斯克里普斯研究所的研究人员发现了一类强大的HIV药物如何结合HIV整合体(intasome)的一个关键部分。通过首次解析出这种整合体与不同药物结合在一起时的三维结构,他们发现了是什么让这类药物如此有效。这项研究提供了可能有助于设计或改进HIV新疗法的重要见解。相关研究结果近期发表在Science期刊上,论文标题为“Structural basis for strand transfer inhibitor binding to HIV intasomes”。

图片来自Salk Institute。
HIV整合体是这种病毒感染的一种关键结构,它由HIV蛋白整合酶(integrase)和病毒DNA链组成,而且是在这种病毒入侵人细胞时形成的。这种整合体进入人细胞,随后进行必要的化学反应,从而将这种病毒的遗传物质整合到人DNA中。一些称为整合酶链转移抑制剂(integrase strand transfer inhibitor, INSTI)的药物成功地阻断这种整合体;当它不能将病毒DNA整合到人类基因组中时,HIV就不能够感染人细胞。目前,有四种INSTI药物获得美国食品药物管理局(FDA)的批准,还有一些正在开发当中。
在这项新的研究中,Lyumkis的研究团队获得了HIV整合体被四种INSTI---市售药物bictegravir;三种称为4f、4d和4c 的实验性化合物---之一阻断时的结构。他们使用了倾斜单粒子低温电子显微镜(single-particle cryo-electron microscopy(他们帮助优化的一种成像技术)来揭示每种HIV整合体-药物复合物的结构。
Lyumkis的第一个观察结果是,这些药物与HIV整合体结合在一起时与它们与PFV整合体结合在一起时有何不同。比如,化合物4f在与PFV整合体结合时会回环到它自身上,而在与HIV整合体结合时却保持相对平坦,这些细节可以帮助人们改善潜在的未来分子的结合特性。
2.Science:HIV耐药性机制新见解
doi:10.1126/science.aay4919
如今,已有许多有助于控制HIV感染的药物,包括整合酶链转移抑制剂在内。该药物家族中有四种药物:raltegravir,elvitegravir,dolutegravir和bictegravir。它们都通过与HIV的一种被称为整合酶的关键酶类结合而起作用,以阻止其将病毒的遗传物质插入人体细胞的DNA中。尽管最初非常有效,但随着时间的流逝,HIV会对这些药物产生抵抗力。
近日,Dana-Farber癌症研究所的研究揭示了HIV对多种药物产生耐药性的机制,这一发现为开发更有效的治疗方法打开了大门。这项研究于2020年1月30日在《Science》杂志上在线发表,该研究发现了HIV产生药物耐药性的机制。尽管这些药物通常在结合和阻断整合酶方面非常有效,但随着时间的流逝,病毒会削弱药物的能力,从而使HIV再次起作用。
“我们的结构生物学方面的研究使得我们能够看到药物与病毒酶活性位点的精确结构。这一结构将为设计更有效的整合酶抑制剂提供参考,从而可以改善数百万HIV感染者的生活。”美国Dana-Farber癌症研究所癌症免疫学和病毒学教授Alan Engelman说。
3.Ann Intern Med:加入马拉韦罗并不改善晚期HIV感染患者的临床结果
doi:10.7326/M19-2133
在一项新的双盲随机对照临床试验中,来自法国、西班牙和意大利的研究人员发现对于开始进行治疗的晚期HIV感染患者,在标准联合抗逆转录病毒药物(c-ART)治疗中加入马拉韦罗(maraviroc)似乎并不能改善临床结果。相关研究结果于2020年2月11日发表在Annals of Internal Medicine期刊上,论文标题为“Addition of Maraviroc Versus Placebo to Standard Antiretroviral Therapy for Initial Treatment of Advanced HIV Infection: A Randomized Trial”。

图片来自CC0 Public Domain。
这些研究人员随机分配416名首次接受c-ART治疗的HIV阳性成年人患者开始接受c-ART加安慰剂或c-ART加马拉韦罗治疗72周,以评估将马拉韦罗添加至标准c-ART治疗中的益处。
他们发现,在欧洲的三个国家中,在被诊断出患有晚期HIV感染的人中,严重疾病的发生率为每100人年11.2例,而且对于这些患者,在标准c-ART中添加马拉韦罗对这一数值没有影响。在第48周时,使用马拉韦罗与病毒学治疗失败(virologic failure)的较高风险相关,但在第72周时则不相关。在这整个研究中,这两组患者的CD4 T细胞计数增加相似,但在马拉韦罗组中,CD4-CD8比率增加较低。
4.Mol Cell:新鉴定HIV-1感染中的关键基因
doi:10.1016/j.molcel.2020.02.004
Gladstone研究所Nevan Krogan博士等人开发了一种新的方法来了解宿主细胞如何控制HIV感染。在近日《Molecular Cell》杂志上发表的一篇论文中,研究小组绘制了人类细胞中与艾滋病毒感染有关的基因图谱。一方面,该图谱揭示了病毒在人细胞中生长所需的新基因。另外该图谱可用于分析不同的HIV突变体如何影响宿主细胞以及测试能够阻断HIV与宿主相互作用的药物。
根据最新绘制的图谱,作者成功地鉴定出了CNOT家族的成员,它们在HIV生物学中的作用此前未被报道。作者证明,CNOT复合物可通过抑制CD4+ T细胞中的先天免疫反应来促进HIV感染。
5.Nat Commun:急性HIV感染时MAIT细胞活性和功能的新发现
doi:10.1038/s41467-019-13975-9
在《Nature Communications》杂志上发表的一项新研究中,卡罗林斯卡学院的研究人员表明,人类免疫系统中的粘膜相关不变T细胞(MAIT细胞)在HIV感染的初始阶段会做出动态活动和基因表达重组的反应。这项研究填补了一个知识空白,因为之前,MAIT细胞在这个特定阶段的功能还没有被很好地理解。
此前的观察显示,MAIT细胞在艾滋病感染的后期会消失。在这项研究中,这些研究人员观察到MAIT细胞实际上在初始阶段就开始扩张,并以强烈的激活来对抗细菌。他们还发现MAIT细胞的基因表达模式在初始阶段逐渐改变。它们具有不同的特性,抗菌功能下降,这可能会对个人的免疫防御产生负面影响。
这项研究增进了对艾滋病毒感染初始阶段的了解。以前在这方面缺乏知识,因为在研究开始时,被诊断出感染艾滋病毒的个人往往感染了较长时间。
6.mBio:天然免疫蛋白抑制HIV复制的分子机制
doi:10.1128/mBio.02956-19
根据乔治华盛顿大学研究人员发表在《mBio》杂志上的一项新研究,人蛋白质载脂蛋白A-1结合蛋白(AIBP)通过靶向脂质筏并减少病毒细胞融合来抑制HIV复制。这些结果提供了第一个证据,表明AIBP是一种先天免疫因子,该因子可通过修饰HIV靶细胞上的脂质筏来限制HIV复制。
宿主细胞脂筏(细胞膜中含有高浓度的胆固醇和鞘糖脂的结构域)对HIV的入侵至关重要,并参与HIV-1的组装以及靶细胞的感染。考虑到HIV对脂质筏的依赖性以及AIBP降低脂质筏的能力,研究人员假设AIBP可以抑制HIV复制。
研究结果表明,外源添加的AIBP可以减少脂质筏的丰度,并在体外和体内抑制HIV复制,而敲除细胞固有的AIBP可以增加HIV复制。利用这些发现,作者建议可以设想通过刺激AIBP产生来抑制HIV感染和与HIV相关的合并症的新治疗方法。
7.Nat Med:抗体疗法可增强HIV感染者体内的T细胞免疫反应
doi:10.1038/s41591-019-0747-1
大多数HIV感染者通过服用抗逆转录病毒药物(ART)来控制这种病毒。尽管这种药物非常有效,但体内潜伏的HIV病毒库的存在意味着这些患者需要终身治疗。已有研究表明联合使用两种抗HIV抗体的免疫疗法像ART药物那样也可以抑制HIV。如今,在一项新的研究中,来自加拿大蒙特利尔大学医院研究中心、美国洛克菲勒大学和德国科隆大学的研究人员发现在ART药物停用期间,使用这些抗体对HIV感染者的免疫系统产生影响。相关研究结果于2020年2月3日在线发表在Nature Medicine期刊上,论文标题为“Combination anti-HIV-1 antibody therapy is associated with increased virus-specific T cell immunity”。

关于受HIV感染的T细胞的扫描电镜图,图片来自NIAID。
这些研究人员描述了注射这些强效的称为中和抗体的抗HIV抗体如何与特异性识别HIV病毒的T细胞反应增强相关。T细胞是重要的白细胞,有助于控制诸如HIV感染之类的慢性感染。这项研究显示了人类免疫系统的两个分支---体液免疫(抗体)和细胞免疫(T细胞)---之间的意外相互作用和潜在影响。
论文共同通讯作者、蒙特利尔大学医院研究中心研究员Daniel E. Kaufmann教授说,“这确实是概念验证。在这项研究中,我们分析了一项临床试验中参与者的血样,在这项临床试验中,我们的合作者使用了实验室产生的单克隆抗体来阻断这种病毒。所有参与者在ART药物停用后至少维持了15周的病毒抑制。”
8.Science:大规模临床试验表明HIV疫苗初免-加强免疫策略遭遇失败
doi:10.1126/science.abb1480
对一种能够阻止HIV病毒的疫苗的探索又一次遭遇了令人沮丧的失败。一种在人体测试中进展最为迅速的HIV疫苗不起作用,在南非进行的一项价值1.04亿美元的评估这种疫苗的临床试验已提前终止。这项临床试验的负责人、南非医学研究理事会主席Glenda Gray说,“完全没有证据表明有效。这是多年的研究工作。真是太令人失望了。”
这项临床疗效研究(称为HVTN 702)始于2016年10月。它在南非全国14个地点招募了5407名18至35岁的性活跃的未感染HIV的男性和女性。研究人员随机分配了一半的参与者,采取称为初免-加强免疫(prime boost)的组合拳策略让他们接受了两种HIV疫苗接种,而另一半的参与者接受了安慰剂注射。该临床试验原应持续到2022年7月。但是,在2020年1月23日,一个按照计划对数据进行查阅以评估安全性和有效性的独立监督委员会告知Gray及这项临床研究的其他负责人继续下去是徒劳的。疫苗接种组有129例感染,安慰剂注射组有123例感染。
没有证据表明这种疫苗会造成伤害,就像在2007年突然终止的另一项大型HIV疫苗研究中一样。加州大学旧金山分校流行病学家Susan Buchbinder曾共同主持过那项发人深省的研究,她祝贺南非的同事们进行了一项科学严谨、复杂的临床试验。Buchbinder说,“这项临床试验做得非常好,我们得到了一个明确的答案,这就是科学的意义。”Buchbinder是一项称为Mosaico的多国临床试验的负责人。Mosaico研究是目前正在进行的最先进的大规模HIV疫苗研究。
在这项终止的HVTN 702临床试验中,用于“初免(prime)”的疫苗是一种无害的携带HIV的一种表面蛋白和它的两种其他结构蛋白的金丝雀痘病毒。用于“加强免疫(boost)”的疫苗含有这种HIV表面蛋白的重组形式,并且含有一种免疫系统增强剂,即佐剂MF59。
9.Cell:强效抗体1-18可限制HIV耐药性产生
doi:10.1016/j.cell.2020.01.010
如今,在一项新的研究中,来自德国科隆大学和美国加州理工学院的研究人员鉴定出一种新的称为1-18的抗体。这种抗体是强效的,可抵抗97%的接受测试的HIV变体。因此,1-18是迄今为止描述的最好的HIV广泛中和抗体之一。相关研究结果于2020年1月30日在线发表在Cell期刊上,论文标题为“Restriction of HIV-1 Escape by a Highly Broad and Potent Neutralizing Antibody”。论文通讯作者为科隆大学的Florian Klein博士。论文第一作者为科隆大学的Philipp Schommers博士、Henning Grüll博士和加州理工学院的Morgan E. Abernathy博士。
这些研究人员详细确定了1-18抗体的作用机制。1-18结合并灭活HIV的一个表面结构,这是特别有意义的,毕竟这个表面结构对这种病毒的感染和复制至关重要。
在一种可再现人体HIV感染的小鼠模型中,这些研究人员研究了这种新鉴定出的抗体1-18的治疗功效。在这种模型中,其他的广泛中和抗体因HIV对它们快速地产生耐药性而仅显示出短期效应。相反,用抗体1-18进行治疗可抑制病毒载量,而且在治疗期间维持这种抑制。Grüll说,“这些结果表明与其他抗体相比,HIV对抗体1-18的耐药性受到限制。”
10.Science子刊:在经过诱导的记忆T细胞亚群中,仅1.7%的完整HIV-1原病毒释放出具有复制能力的病毒
doi:10.1126/scitranslmed.aax6795
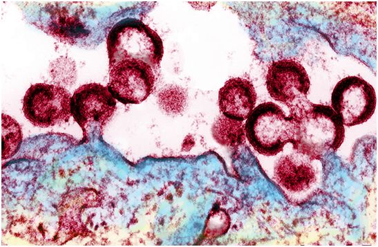
治愈HIV-1感染的主要障碍是潜伏在静止性CD4+ T细胞中的HIV-1病毒库,这使得这种病毒能够以一种让免疫系统无法检测到或不受抗逆转录病毒药物(ART)影响的形式持续存在。一种治愈策略涉及诱导病毒基因表达,以便可以消除潜伏感染的T细胞。人们已经提出潜伏的HIV-1可能富含在特定的CD4+ T细胞亚群中,这将允许潜伏逆转药物更特异性地靶向它们。目前尚不清楚这种潜伏的HIV-1病毒库是否主要存在于CD4+ T细胞的特定亚群中,这一点可能对理解这种HIV-1病毒库的稳定性和开发治愈性疗法有影响。近期的研究已表明HIV-1感染的CD4+ T细胞的增殖是这种潜伏HIV-1病毒库产生和持久性存在的主要因素,并且在体内发生克隆扩增的潜伏感染T细胞可以在体外增殖而不产生病毒颗粒。

当遭受HIV潜伏感染的免疫细胞受到重新激活时,这种细胞开始产生HIV病毒颗粒(红色),这些病毒颗粒出芽并从细胞(蓝色)中释放出来,图片来自NIAID。
在某些CD4+记忆T细胞亚群中,HIV-1原病毒(provirus)可能处于更深的潜伏状态,这会使得这些细胞发生增殖而不产生病毒蛋白,从而可以逃避免疫清除。为了评估这种可能性,在一项新的研究中,来自美国约翰霍普金斯大学等研究机构的研究人员使用了多重刺激病毒生长试验,在体外对来自10名接受ART药物治疗的HIV-1感染者的静止性初始CD4+ T细胞、中枢记忆CD4+ T细胞(TCM)、过渡记忆CD4+ T细胞(TTM)和效应记忆CD4+ T细胞(TEM)进行培养。相关研究结果发表在2020年1月29日的Science Translational Medicine期刊上,论文标题为“Different human resting memory CD4+ T cell subsets show similar low inducibility of latent HIV-1 proviruses”。
平均而言,在所有T细胞亚群中,在这些细胞受到刺激后,只有1.7%的完整HIV-1原病毒在诱导后转录病毒基因并且释放出具有复制能力的病毒。他们没有在任何T细胞亚群中发现完整或可诱导的原病毒的持续富集。此外,他们观察到这些典型的记忆T细胞亚群在体外激活后具有显著的可塑性,而且诱导感染性病毒释放的能力在人与人之间存在显著差异。这一发现使得基于记忆T细胞亚群的HIV-1靶向治疗的愿景变得更加复杂。(生物谷 Bioon.com)